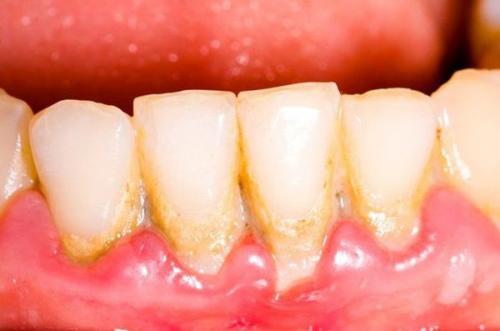
Какие симптомы могут указывать на наличие заболеваний зубов и десен
Ухудшение состояния зубов
Когда у вас есть проблемы с зубами, вы можете испытывать определенные симптомы, которые указывают на наличие заболеваний. Одним из самых распространенных симптомов заболеваний зубов является боль. Если вы испытываете постоянную или периодическую боль в зубах, это может быть признаком кариеса, аппендицита зуба или других проблем.
Изменение цвета зубов
Еще одним симптомом заболеваний зубов является изменение цвета зубов. Если ваши зубы становятся более желтыми или коричневыми, это может быть признаком кариеса или других проблем.
Образование язв на деснах
Если у вас есть язвы на деснах, это может быть признаком заболеваний десен. Язвы могут быть вызваны различными факторами, такими как стресс, недостаточное количество витамина B12, инфекция или другие проблемы.
Ухудшение вкуса и запаха
Если у вас ухудшается вкус и запах, это может быть признаком заболеваний зубов и десен. Это может быть вызвано различными факторами, такими как кариес, гингивит или другие проблемы.
Затрудненное глотание и питье
Если у вас затруднено глотание и питье, это может быть признаком заболеваний зубов и десен. Это может быть вызвано различными факторами, такими как кариес, гингивит или другие проблемы.
Заключение
Если у вас есть любые из перечисленных симптомов, вам следует обратиться к специалисту по зубоврачебной помощи. Они смогут диагностировать проблему и предложить подходящее лечение. Помните, что заболевания зубов и десен могут быть серьезными, поэтому важно обращаться к специалисту в случае появления симптомов.
Ссылки:
